審美歯科は、歯を白く美しくします。
白く美しい歯や口元は、結婚式・就職活動・人前でお話をするお仕事をしている方など、様々なシーンで好印象を与えます。
歯を白く美しくするには、ホワイトニング・ラミネートベニアなど様々な方法があります。
当院では患者さんのお口の状態によって適切な方法をご提供いたしますので、お気軽にご相談ください。
Cosmetic dentistry
審美歯科は、歯を白く美しくします。
白く美しい歯や口元は、結婚式・就職活動・人前でお話をするお仕事をしている方など、様々なシーンで好印象を与えます。
歯を白く美しくするには、ホワイトニング・ラミネートベニアなど様々な方法があります。
当院では患者さんのお口の状態によって適切な方法をご提供いたしますので、お気軽にご相談ください。

美しく、かつ機能的であり、歯を削る範囲を最も少なく抑えることのできるラミネートベニア修復は、近年、審美機能修復には欠かせない方法となりました。しかし、どのような歯でも適しているという訳ではありません。歯の色、形、咬み合わせによって、使い分ける必要があるのです。
最良の結果を得るためには、治療を開始する以前の準備が、最も大切なことになります。
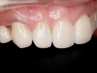
ラミネートベニアとオールセラミック歯による修復の終了時です。歯肉とのなじみも良く、非常に自然な仕上がりとなっております。
トータルホワイトニング、ラミネートベニア修復法、オールセラミック歯を用いて、もともとのご自身の歯を有効に活かし、かつ金属を使わない修復方法であるため、天然の自然な白い歯に近い色調の再現ができた結果です。
