歯を虫歯や歯周病で失ってしまった場合、いくつかの治療方法があります。
その中の一つに入れ歯(義歯)があります。
入れ歯はなかなか合わないし噛みづらいというイメージをお持ちかと思います。
良い入れ歯は何でも噛めて食べられ、口元が美しくなり、お顔も若返ります。しかし、作ったらそれでおしまいではありません。入れ歯は使いこなすうちに、もっとなじんでいきます。そして食べられる範囲がどんどん広がっていきます。こ自分でのメンテナンスや歯科医師による調整によって、入れ歯は自分の歯に近づいていきます。
Denture
歯を虫歯や歯周病で失ってしまった場合、いくつかの治療方法があります。
その中の一つに入れ歯(義歯)があります。
入れ歯はなかなか合わないし噛みづらいというイメージをお持ちかと思います。
良い入れ歯は何でも噛めて食べられ、口元が美しくなり、お顔も若返ります。しかし、作ったらそれでおしまいではありません。入れ歯は使いこなすうちに、もっとなじんでいきます。そして食べられる範囲がどんどん広がっていきます。こ自分でのメンテナンスや歯科医師による調整によって、入れ歯は自分の歯に近づいていきます。

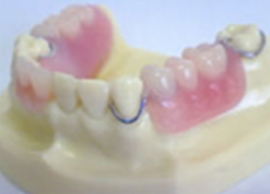
入れ歯を支えるために健康な歯に金属の爪がかかります。
部分入れ歯を入れたお口の中は、ご自身の健康な歯と入れ歯が混在した状態です。健康な歯にはフック(クラスプ)がかかります。フックは残っている健康な歯に負担をかけますから、無理な力がかからないように調整します。前歯にフックがかかると見た目が悪いですから、その時には透明なプラスチックのフックを使ったり、フックのない入れ歯を用いたりします。

歯が一本もない人の入れ歯。
歯が1本もない場合には総入れ歯(総義歯)になります。歯茎と粘膜で入れ歯を安定させなければなりません。総入れ歯に慣れるまで何回かの調節が必要になります。上顎はそれほど大変ではありませんが、歯茎がやせてしまった下顎は大変難しくなります。特に、ご高齢の女性は骨が薄くなりがちですので、調整がより必要となります。

金属のつめを使っていないので、入れ歯をはめている事が気になりません。

金属を使用していないので、金属アレルギーの方でも安心です。

弾力性があるので、付け心地が良い入れ歯。

金属のつめを使用している入れ歯と使用していない入れ歯。

金属のつめが無くてもしっかり固定されています。
最近では噛む機能もしっかりと回復でき、強度もあり見た目もきれいな入れ歯が開発されています。
金属のフックの無いノンクラスプデンチャーというものがあります。
金属のフックが歯にかかりませんので、見た目もきれいですし、フックで健康な歯をダメにしてしまう心配もありません。

金属の床を使った入れ歯(総入れ歯)。

一部金属を使った入れ歯(部分入れ歯)。
粘膜にあたる床の部分が金属でできている入れ歯を、金属床といいます。金属でできていますので、保険で作るプラスティックの入れ歯と比べて、強度もあり、衛生的です。また金属ですから薄く作れるので違和感も少ないです。自費の治療となりますので、保険の入れ歯と比べて費用がかかりますが、快適に噛むことができます。